X

Zahnprothetik

Qualität durch Spezialisierung

Die zahnärztliche Prothetik umfasst ein großes Spektrum der heutigen Zahnheilkunde. Im Vordergrund steht meist, Zähne mit größeren Schäden zu rekonstruieren oder fehlende Zähne wieder zu ersetzen. Hier kommen sehr viele Aspekte und Komponenten der Zahnmedizin zusammen.

Eine präzise Vorbehandlung, Zahnpräparation, Abformung, Materialauswahl und Zusammenarbeit zwischen Zahnarzt und Zahntechniker sind maßgebliche Faktoren, die für die Qualität des Ergebnisses verantwortlich sind.

Spezialist für Prothetik und Zahnarzt in Kiel

Dr. Stefan M. Wegner M.Sc. M.Sc. ist Zahnarzt in Kiel und "Spezialist für Prothetik" der Deutschen Gesellschaft für Prothetische Zahnmedizin und Biomaterialien e.V. (DGPro). Er bietet somit ein hohes Maß an Qualifikation im Bereich der zahnärztlichen Prothetik.

Zahnersatz und Zahnprothesen in Kiel

Praxis Wegner - Die Zahnarztpraxis für Prothetik und Implantologie

Herausnehmbarer Zahnersatz - Was ist das?

Die Vorstellung vieler Patienten von herausnehmbarem Zahnersatz sind wackelnde und schlecht sitzende Zahnprothesen. Das muss jedoch nicht so sein! Aus zahnmedizinischer Sicht bedeutet herausnehmbar lediglich, dass der Patient den Zahnersatz zur Reinigung herausnehmen kann und soll, mehr nicht. Die Zähne sind also immer im Mund (Tag und Nacht) und werden nur zum Zweck der Reinigung vom Patienten herausgenommen und anschließend direkt wieder eingesetzt.

Des Weiteren empfinden fast alle Patienten die gesamte oder auch teilweise Bedeckung des Gaumens bei der Zahnprothese als extrem störend. Abhängig von der Lokalisation der Restbezahnung ist es jedoch oftmals möglich, auf eine Gaumenplatte oder einen Gaumenbügel gänzlich zu verzichten.

Herausnehmbarer Zahnersatz - Welche Arten gibt es?

Die Klassifikation von herausnehmbarem Zahnersatz erfolgt in der Regel nach der Art der Befestigung:

Gaumenfreier Zahnersatz

Unter Berücksichtigung der genannten Vor- und Nachteile spricht vieles für die Verankerung von herausnehmbarem Zahnersatz mit Teleskopkronen. Die hohe Akzeptanz der Patienten bei dieser Art der Zahnprothese begründet sich nicht zuletzt in einem ausgezeichneten Tragekomfort bei gleichzeitiger gaumenfreier Gestaltung.

Wann ist eine gaumenfreie Zahnprothese möglich?

Die gaumenfreie Gestaltung ist dann möglich, wenn eine statisch günstige Verteilung der Restzähne gegeben ist und gleichzeitig alle Restzähne mit Konuskronen versorgt werden. In der Regel erfolgt die Herstellung der Konuskronen mit einer Hochgoldlegierung, es ist aber mittlerweile auch möglich diese aus präzisionsgefräster Zirkonoxidkeramik herzustellen

Jetzt Beratungstermin vereinbaren

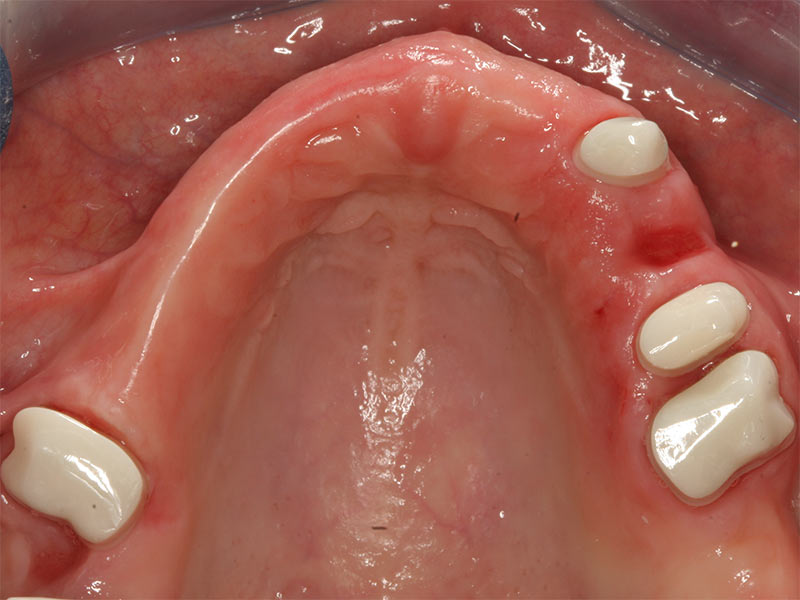
Teleskopkronenversorgung
Teleskopkronenversorgung
Teleskopkronenversorgung
Teleskopkronenversorgung
Teleskopkronenversorgung

Teleskopkronenversorgung

Bei einer Teleskopkronenversorgung werden mindestens 2 Zähne mit einem parallelwandigen Keramikkäppchen versorgt, auf die der abnehmbare Teil des Zahnersatzes aufgesteckt wird. Hier ist auch eine Kombination von Zähnen und Implantaten möglich. Der Zahnersatz ist 24h am Tag im Mund und wird nur zur Reinigung entfernt. Werden im Oberkiefer alle Restzähne so versorgt, kann auch eine gaumenfreie Versorgung realisiert werden. Ein weiterer extrem großer Vorteil ist die Flexibilität einer solchen Versorgung. Geht in der Zukunft z.B. ein Zahn verloren, so kann der Zahnersatz ohne große Kosten an die neue Situation angepasst werden. Auch nachträgliche Implantatpfeiler sind möglich.

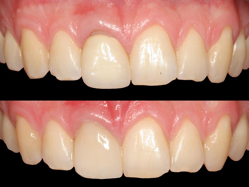
Vollkeramischer Zahnersatz
Vollkeramischer Zahnersatz
Vollkeramischer Zahnersatz
Vollkeramischer Zahnersatz
Vollkeramischer Zahnersatz
Vollkeramischer Zahnersatz

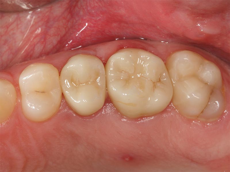
Vollkeramischer Zahnersatz Fall 1

Eine vollkeramische Krone oder Brücke kommt ganz ohne Metall aus. Die Herstellung erfolgt in unserer Praxis im digitalen Workflow. Das hat für für Sie erhebliche Vorteile (siehe CEREC). Durch präzise Farbauswahl, die Vorratshaltung verschiedenster Keramiken und die liebevolle individuelle Farbgebung durch unseren Zahntechniker, Herrn Wagner, ist es so möglich, hochästhetischen Zahnersatz in kürzester Zeit herzustellen. Dunkle Ränder an den Kronen wie bei klassischer Metallkeramik gehören so der Vergangenheit an! Die Behandlung des gezeigten Falles dauerte 2,5 Stunden (zwei Kronen und eine Füllung).

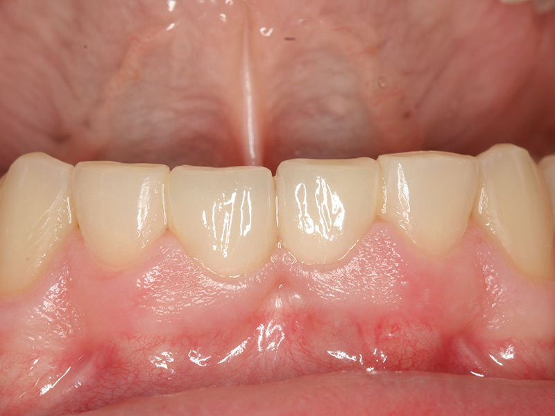
Vollkeramischer Zahnersatz
Vollkeramischer Zahnersatz
Vollkeramischer Zahnersatz
Vollkeramischer Zahnersatz
Vollkeramischer Zahnersatz
Vollkeramischer Zahnersatz
Vollkeramischer Zahnersatz

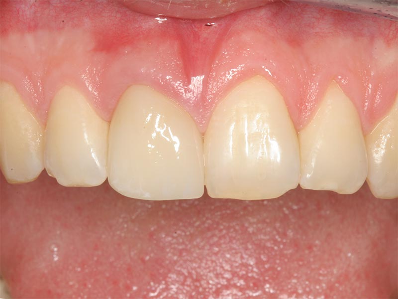
Vollkeramischer Zahnersatz Fall 2

Bei dem hier gezeigten Fall musste eine defekte Krone am rechten Schneidezahn ausgetauscht werde. Nur die Verwendung eines vollkeramischen Werkstoffes kann gewährleisten, dass die neue Krone auch bei unterschiedlichen Lichtverhältnissen natürlich aussieht. Auch dieser Fall wurde im digitalen Workflow behandelt. Ohne Abdruck und ohne Provisorium wurde diese Behandlung innerhalb von 90 Minuten vollständig durchgeführt.

Adhäsivbrücke Fall 1
Adhäsivbrücke Fall 1
Adhäsivbrücke Fall 1
Adhäsivbrücke Fall 1

Adhäsivbrücke Fall 1

Die Nichtanlage (Hypodontie) betrifft ca. 1-5% der Bevölkerung, wobei die seitlichen oberen Schneidezähne in 0,5 -3% betroffen ist. Bei einer kieferorthopädischen Behandlung steht hier oft die Frage im Vordergrund, ob die Lücke auch durch den Eckzahn geschlossen werden (ästhetische Einschränkung) oder ob die Lücke für die Versorgung mit Zahnersatz optimiert werden soll. Hier kommt primär die Versorgung mit einem Einzelzahnimplantat oder einer Adhäsivbrücke in Frage. Beide Lösungen erfordern eine hohe Routine von Zahnarzt und Zahntechniker für ein vorhersagbar ästhetisches Ergebnis. Hier sehen Sie einen klassischen Fall der Nichtanlage von Zahn 22.

Adhäsivbrücke Fall 2
Adhäsivbrücke Fall 2
Adhäsivbrücke Fall 2
Adhäsivbrücke Fall 2

Adhäsivbrücke Fall 2

Bei dieser Patientin lag eine Nichtanlage der beiden unteren Schneidezähne vor, die Milchzähne waren noch vorhanden. Die Versorgung mit zwei einflügeligen vollkeramischen Adhäsivbrücken wurde in nur zwei Terminen durchgeführt! Am ersten Termin erfolgte die Präparation und Abformung, am zweiten Termin die Entfernung der Milchzähne und die unmittelbare adhäsive Befestigung des Zahnersatzes. Wissenschaftliche Untersuchungen zeigen, dass der Langzeiterfolg von Adhäsivbrücken vergleichbar mit konventionellen Brücken ist.

Häufige Fragen

Fragen und Antworten zu Adhäsivbrücken

Zu den FAQs

Haben Sie noch weitere Fragen zu Prothetik?

Dann schreiben Sie uns gerne eine Nachricht. Wir melden uns schnellstmöglich bei Ihnen.

Behandlungsgespräch Prothetik







Spezialist für
Prothetik

(DGPro)

Tätigkeitsschwerpunkt
Implantologie

(DGI)

Zertifizierte
Implantologie

(DGI)

Zertifizierte Kinder-
und Jugendzahnheilkunde

(DGK)