X

Abdruckfrei | CEREC

Vollkeramischer Zahnersatz in nur einer Behandlung, ohne lästigen Abdruck, ohne Provisorium! Nur eine Behandlung heißt auch nur eine Betäubung! Dank neuester CAD/CAM Technik (CEREC) sind wir in Lage, diesen modernen und komfortablen Behandlungsablauf in unserer Praxis anzubieten. Sie erhalten Ihre ästhetische, vom Zahntechniker individualisierte Restauration sofort eingesetzt.

Was ist CEREC?

CEREC, oder auch CEramic REConstruction, beschreibt eine CAD/CAM-Methode (zu dt. computergestützte Methode), die ein Erstellen und Einsetzen einer Keramik-Zahnrestauration innerhalb einer Sitzung ermöglicht. Zur Erstellung der Restauration werden mithilfe von Aufnahmen einer intraoralen Kamera optische Abdrücke erstellt, die im Anschluss zu einem 3D-Modell verarbeitet werden. Aus dem 3D-Modell wird im nächsten Schritt aus Keramik die einsatzfertige Restauration gefertigt. So erhalten Sie im Rahmen einer Sitzung Ihren gewünschten Zahnersatz aus robuster und naturgetreuer Keramik. So können Inlays, Onlays, Teilkronen, Kronen und Brücken angefertigt werden.

Die Vorteile

  • KEIN Abdruck mehr nötig,
  • KEIN Provisorium erforderlich,
  • i.d.R. NUR EINE Behandlung,
  • also nur EINE Betäubung.
Was ist CEREC
Einzelkrone CEREC Methode
Einzelkrone CEREC Methode
Einzelkrone CEREC Methode
Einzelkrone CEREC Methode
Einzelkrone CEREC Methode
Einzelkrone CEREC Methode
Einzelkrone CEREC Methode

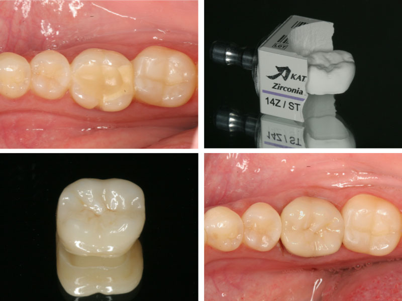
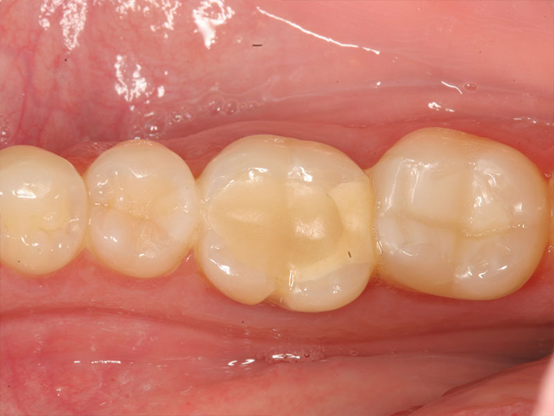
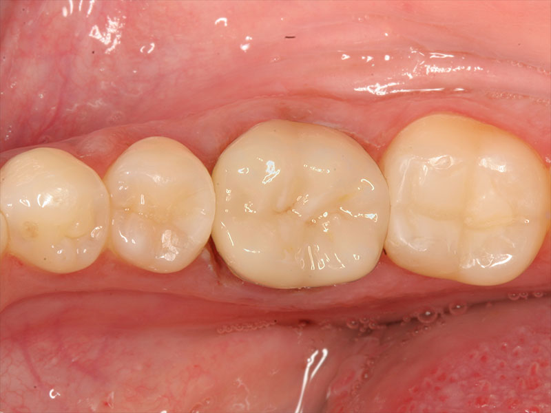
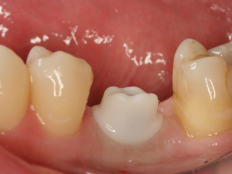
Fall: Einzelkrone

Der klassische Fall für die Anwendung der CEREC Methode stellt die Einzelkrone dar. Im hier gezeigten Fall stellte sich die Patientin mit einem teilweise abgebrochenen Backenzahn vor, der auch schon zum großen Teil mit Kunststoff versorgt war. Die gezeigte Behandlung nimmt ca 120 Minuten in Anspruch.

Brücke CEREC Methode
Brücke CEREC Methode
Brücke CEREC Methode
Brücke CEREC Methode
Brücke CEREC Methode

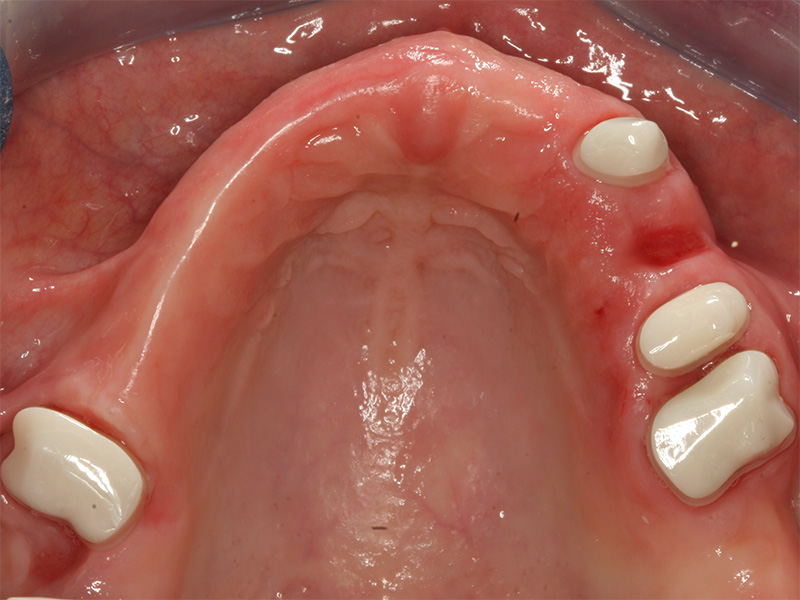
Fall: Brücke

In diesem Fall erfolgte die Herstellung des festsitzenden Zahnersatzes im Oberkiefer im digitalen Workflow. Das bedeutet auch hier kein Abdruck, sondern die Erfassung der anatomischen Strukturen mit dem Intraoralscanner und Design der Brücke am PC.

Implantatkrone CEREC Methode
Implantatkrone CEREC Methode
Implantatkrone CEREC Methode
Implantatkrone CEREC Methode
Implantatkrone CEREC Methode
Implantatkrone CEREC Methode
Implantatkrone CEREC Methode
Implantatkrone CEREC Methode
Implantatkrone CEREC Methode

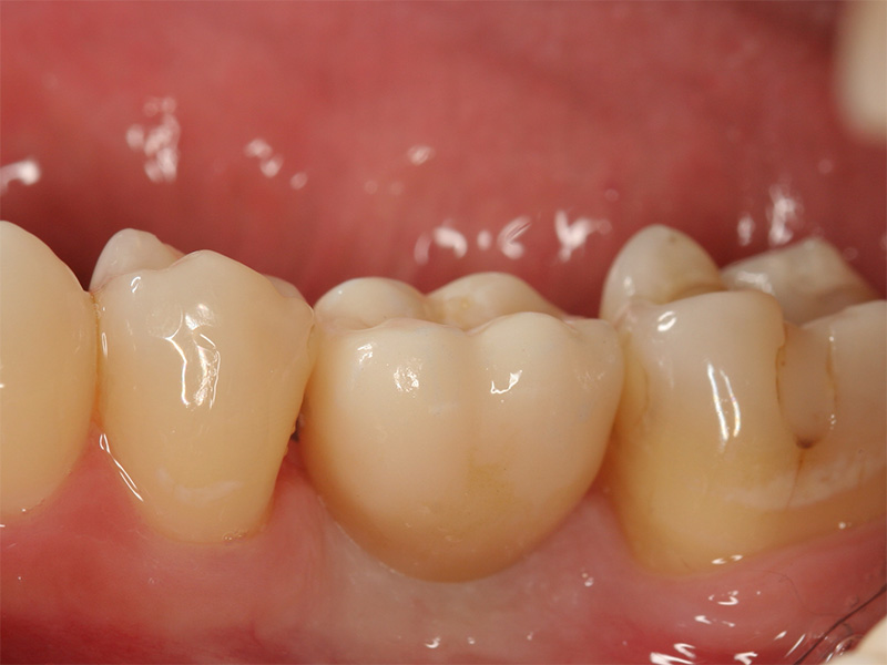
Fall: Implantatkrone

Auch die Herstellung einer Implantatkrone erfolgt ohne Abdruck und im digitalen Workflow. Dank perfekter Gestaltung des Emergenzprofiles (Übergang von Implantat zur Krone), wird der Patient auch hier eine perfekte Mundhygiene betreiben können.

Frontzähne CEREC Methode
Frontzähne CEREC Methode
Frontzähne CEREC Methode
Frontzähne CEREC Methode
Frontzähne CEREC Methode
Frontzähne CEREC Methode

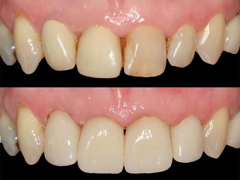
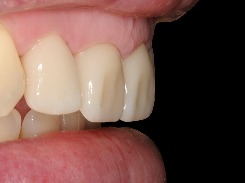
Fall: Frontzähne 1

In nur einer Behandlung wurden bei diesem Patient alle vier oberen Schneidezähne erneuert. Also auch hier nur EINE Betäubung und kein Provisorium. Die Behandlungszeit bis zum fertigen Scan der Situation dauerte ca. 45 Minuten, dann knapp 120 Minuten Wartezeit auf die fertigen individualisierten Kronen: fertig!

Frontzähne CEREC Methode
Frontzähne CEREC Methode
Frontzähne CEREC Methode
Frontzähne CEREC Methode

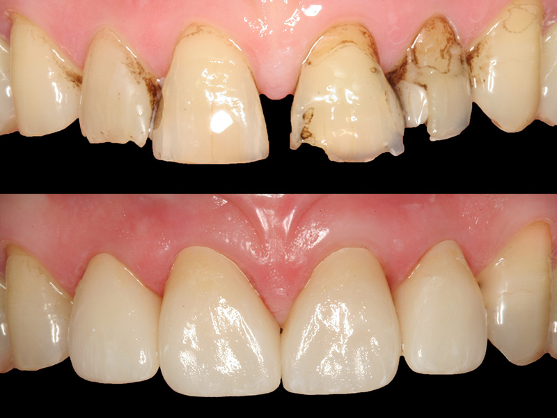
Fall: Frontzähne 2

Und ein weiterer Fall, der in nur einer Behandlung umgesetzt wurde. Das Design der neuen Schneidezähne erfolgte im Beisein der Patientin. So konnten individuelle Wünsche direkt umgesetzt werden und die Patientin konnte nach 2,5 Stunden die Praxis wieder glücklich verlassen.

Große prophetische Versorgung
Große prophetische Versorgung
Große prophetische Versorgung
Große prophetische Versorgung
Große prophetische Versorgung

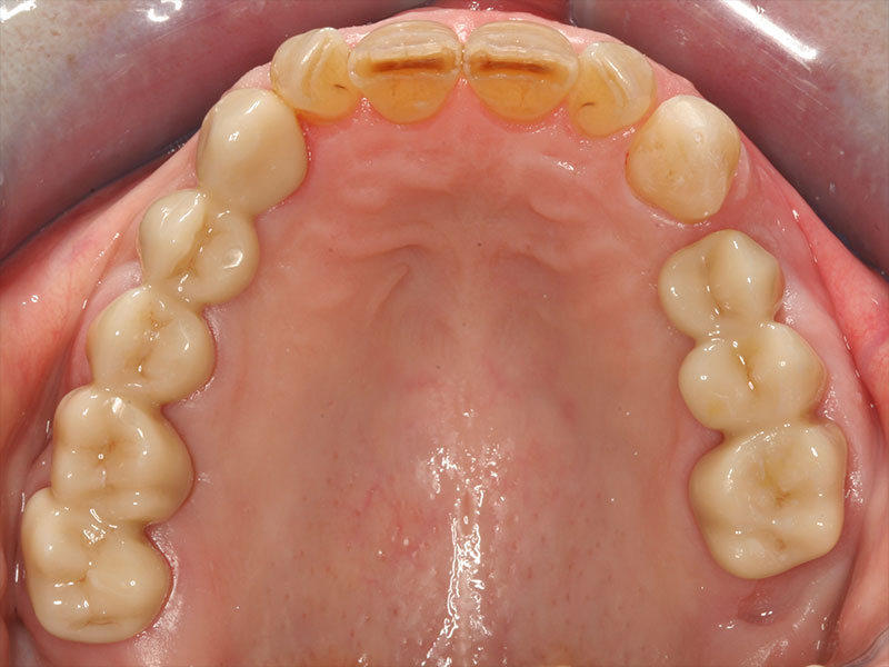
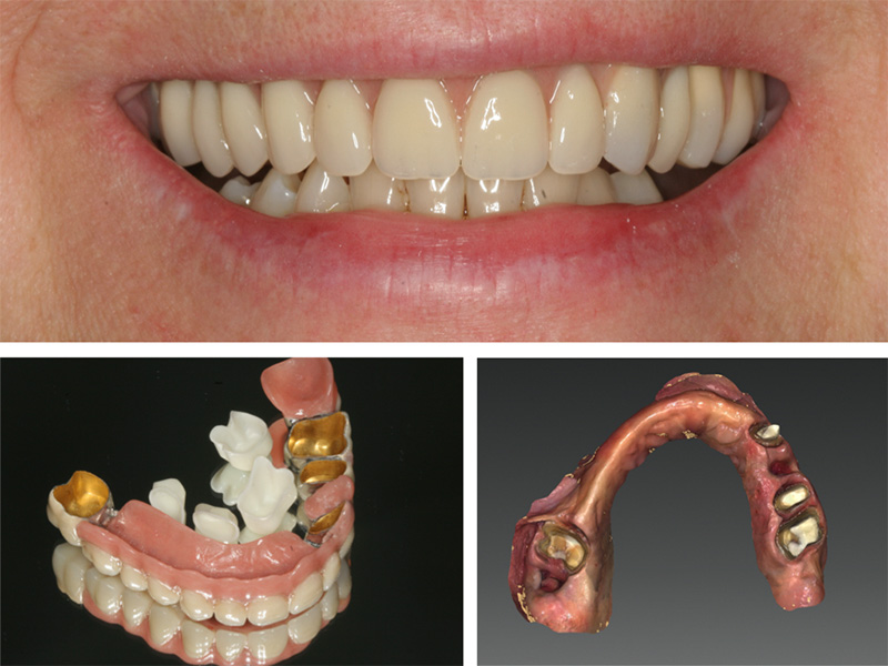
Fall: Große prophetische Versorgung

Auch bei großen prophetischen Teleskopkronen-Versorgungen, kommt die moderne und innovative Methode des intraoralen Scans bei uns zum Einsatz. Vollkeramische Innenteleskope mit hochpräzisen Außenteleskopen in Galvanotechnik, realisieren ein funktionell perfekt vorhersehbares Ergebnis. Durch unseren Zahntechniker, Herrn Wagner, entsteht so ein mit dem Patienten abgestimmtes harmonisches Gesamtergebnis.

Häufige Fragen

Fragen und Antworten zu CEREC

Zu den FAQs

Haben Sie noch weitere Fragen zu CEREC?

Dann schreiben Sie uns gerne eine Nachricht. Wir melden uns schnellstmöglich bei Ihnen.

CEREC Maschine







Spezialist für
Prothetik

(DGPro)

Tätigkeitsschwerpunkt
Implantologie

(DGI)

Zertifizierte
Implantologie

(DGI)

Zertifizierte Kinder-
und Jugendzahnheilkunde

(DGK)