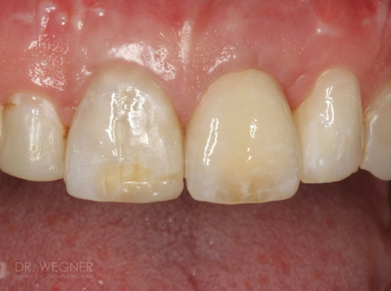
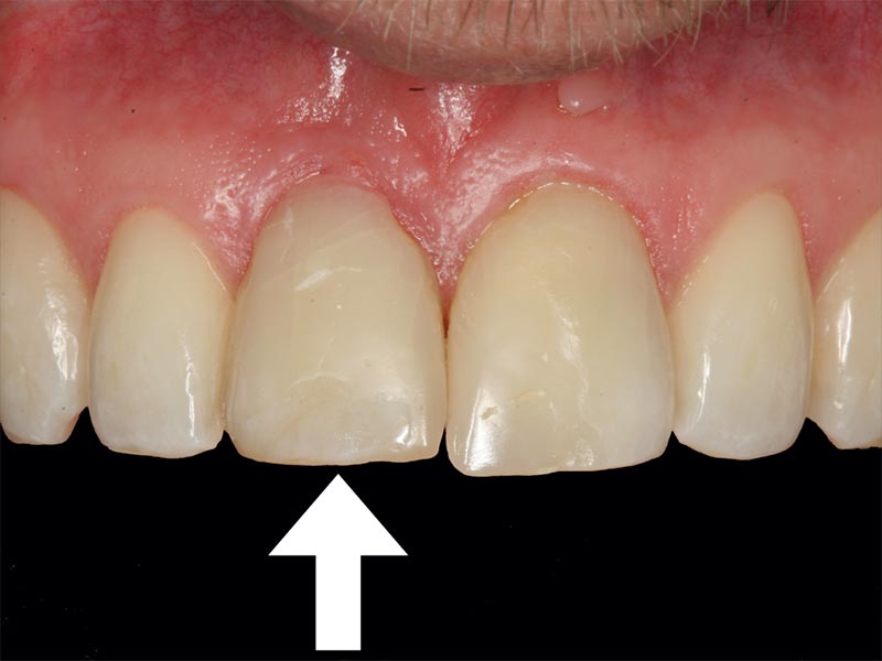
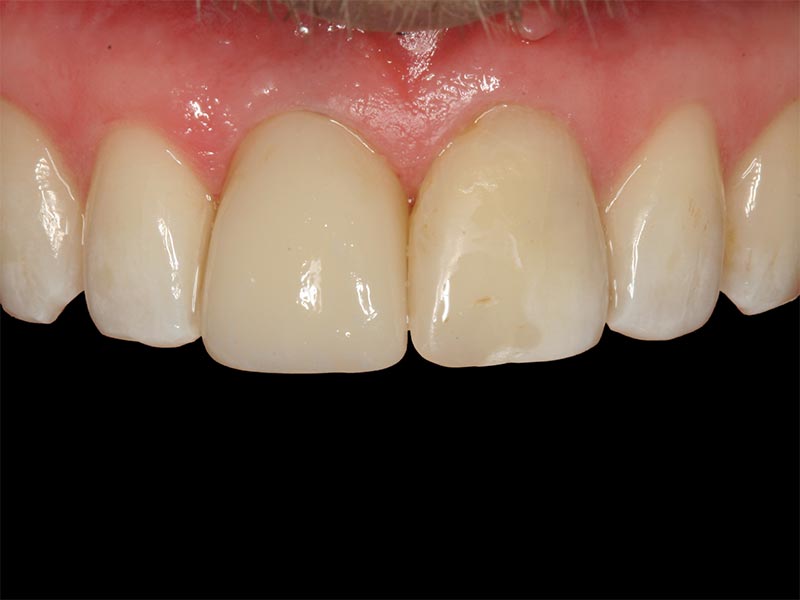
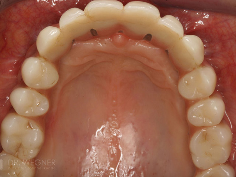
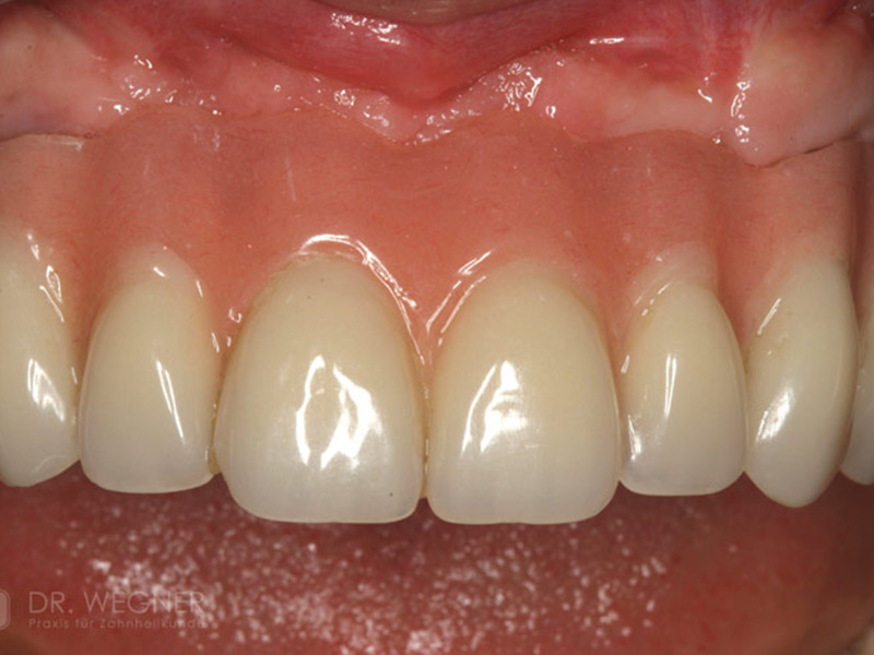
Zahnimplantate werden anhand von moderner virtueller 3D-Planung passgenau geplant und inseriert. Der Vorteil von Implantaten besteht darin, dass festsitzender ästhetischer Zahnersatz auch in solchen Fällen realisiert werden kann, in denen sonst nur herausnehmbare Prothesen möglich wären. Zudem ist im Gegensatz zur Brückenprothetik kein Beschleifen der Nachbarzähne notwendig.
Zahnimplantologie in Kiel
Implantate vom Zahnarzt
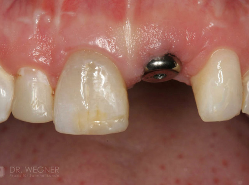
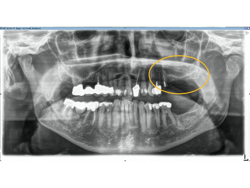
Unter dentalen Implantaten versteht man im allgemeinen eine Schraube, die dort, wo ein oder mehrere Zähne verloren gegangen sind, in den Kieferknochen "eingepflanzt" wird. Diese Therapieform der Implantologie hat sich in den letzten Jahren zu einem alltäglichen Therapieverfahren in der Zahnheilkunde entwickelt. Wissenschaftliche Untersuchungen zeigen hierfür eine Erfolgsquote von i. d. R. 80-98 % über 10 Jahre. Verglichen mit anderen zahnärztlichen Maßnahmen gibt es nahezu keine andere Therapie mit derart guten Erfolgsaussichten. Auch eine Verbesserung der Lebensqualität wird durch implantatgetragenen Zahnersatz laut klinischer Studien erreicht.
Vorteile der Zahnimplantologie
Mittlerweile hat sich die Implantologie zu einem alltäglichen Therapieverfahren mit sehr guten Erfolgsaussichten in der Zahnheilkunde entwickelt. Bei guter Mundhygiene und regelmäßigen Kontrolluntersuchungen können fachmännisch gesetzte Zahnimplantate ein Leben lang halten.
Spezialist für Zahnimplantologie
Dr. Stefan M. Wegner M.Sc. M.Sc.
Zahnarzt Dr. Stefan M. Wegner M.Sc. M.Sc. verfügt über mehr als zwanzig Jahre Erfahrung in der Implantologie und erfüllt seit über 15 Jahren die Qualifikation zum ‚Tätigkeitsschwerpunkt Implantologie‘ der Deutschen Gesellschaft für Implantologie e.v. (DGI). Er trägt die akademischen Titel "Master of Science in Oral Implantology" sowie "Master of Science in Oraler Implantologie und Parodontologie" und wurde bereits 2001 qualitfiziert als "Spezialist für Prothetik" der Deutschen Gesellschaft für Prothetische Zahnmedizin und Biomaterialien e.V. (DGPro). Vor seiner Niederlassung in eigener Praxis war er Oberarzt an der Klinik für zahnärztliche Prothetik, Universitätsklinikum Kiel.
Jetzt Beratungstermin vereinbaren! 
						Formen der Zahnimplantologie
Haben Sie noch weitere Fragen zu Implantologie?
Dann schreiben Sie uns gerne eine Nachricht. Wir melden uns schnellstmöglich bei Ihnen.
 
									 
								 
								 
								 
								 
								 
								 
								 
								 
								 
								 
									 
									 
									 
									 
									 
									 
									 
									 
									 
									 
									 
									 
									 
									 
									 
									 
									 
									 
									 
									 
									 
									 
									 
									 
									 
									 
									 
									 
									 
									 
						 
									